- Regularne szczotkowanie zębów przynajmniej dwa razy dziennie jest kluczowe dla zdrowia dziąseł.
- Używanie nitek dentystycznych i irygatorów pomaga w usuwaniu płytki nazębnej z przestrzeni międzyzębowych.
- Regularne wizyty u dentysty pozwalają na wczesne wykrycie problemów z dziąsłami.
- Odpowiednia dieta, bogata w witaminy i minerały, wspiera zdrowie dziąseł.
- Wczesne objawy zapalenia dziąseł, takie jak zaczerwienienie i obrzęk, powinny skłonić do wizyty u dentysty.
- Wybór odpowiednich produktów, takich jak płyny do płukania jamy ustnej i szczoteczki, ma znaczący wpływ na zdrowie dziąseł.
Utrzymywanie odpowiedniej higieny jamy ustnej dla zdrowych dziąseł
Aby dbać o dziąsła, kluczowe jest przestrzeganie zasad higieny jamy ustnej. Regularne szczotkowanie zębów przynajmniej dwa razy dziennie pomaga w usuwaniu płytki nazębnej, która może prowadzić do chorób dziąseł. Należy również pamiętać o używaniu nitek dentystycznych, które są niezbędne do oczyszczania przestrzeni międzyzębowych, gdzie szczoteczka nie zawsze dociera.
Właściwe techniki szczotkowania oraz częstotliwość są niezwykle istotne. Należy szczotkować zęby przez co najmniej 2 minuty, używając odpowiedniego kąta i ruchów, aby skutecznie usunąć zanieczyszczenia. Pamiętaj, że regularne dbanie o higienę jamy ustnej nie tylko wpływa na zdrowie dziąseł, ale także na ogólny stan zdrowia.
Jak prawidłowo szczotkować zęby, aby chronić dziąsła
Prawidłowe szczotkowanie zębów jest kluczowe dla ochrony dziąseł. Należy używać szczoteczki z miękkim włosiem, aby nie podrażnić dziąseł. Trzymaj szczoteczkę pod kątem około 45 stopni względem linii dziąseł i wykonuj delikatne, okrężne ruchy. Ważne jest, aby nie szczotkować zębów zbyt mocno, ponieważ może to prowadzić do ich uszkodzenia oraz podrażnienia dziąseł.
- Szczotkuj zęby przez minimum 2 minuty, aby dokładnie oczyścić każdy ząb.
- Używaj szczoteczki z miękkim włosiem, aby zminimalizować ryzyko podrażnień.
- Regularnie wymieniaj szczoteczkę co 3-4 miesiące lub wcześniej, jeśli włosie jest zużyte.
Rola nitkowania w pielęgnacji przestrzeni międzyzębowych
Nitkowanie jest istotnym elementem pielęgnacji dziąseł, ponieważ pozwala na usunięcie resztek jedzenia oraz płytki nazębnej z trudno dostępnych miejsc. Należy używać około 45 cm nitki dentystycznej, owijając końce wokół palców, a następnie delikatnie wprowadzać nitkę między zęby, formując literę C wokół każdego zęba. Nitkowanie powinno być wykonywane przynajmniej raz dziennie, aby skutecznie chronić zdrowie dziąseł.
- Używaj nitki dentystycznej przynajmniej raz dziennie, najlepiej przed snem.
- Wybieraj nitki o odpowiedniej grubości, aby dopasować je do swoich zębów.
- Unikaj zbyt mocnego szarpania nitki, aby nie uszkodzić dziąseł.
Znaczenie regularnych wizyt u dentysty dla zdrowia dziąseł
Regularne wizyty u dentysty są kluczowe dla utrzymania zdrowia dziąseł. Dzięki nim można wcześnie wykrywać problemy, takie jak zapalenie dziąseł czy próchnica. Dentysta nie tylko oceni stan zdrowia jamy ustnej, ale również udzieli wskazówek dotyczących dalszej pielęgnacji. Warto pamiętać, że profilaktyka jest zawsze tańsza i mniej inwazyjna niż leczenie.Podczas rutynowych wizyt dentysta przeprowadza szereg badań, które mogą ujawnić problemy, zanim staną się poważne. Na przykład, kontrola płytki nazębnej i kamienia nazębnego pozwala na ocenę, czy przestrzeganie zasad higieny jamy ustnej jest wystarczające. Regularne kontrole mogą również pomóc w identyfikacji wczesnych objawów chorób, co jest kluczowe dla zachowania zdrowia dziąseł.
Jak często należy odwiedzać dentystę dla profilaktyki
Ogólnie zaleca się, aby dorośli odwiedzali dentystę co sześć miesięcy. Jednak częstotliwość wizyt może się różnić w zależności od indywidualnych potrzeb zdrowotnych. Osoby z chorobami dziąseł lub innymi problemami stomatologicznymi mogą wymagać częstszych wizyt, na przykład co trzy miesiące. Dzieci również powinny regularnie odwiedzać dentystę, aby monitorować rozwój zębów i zapobiegać problemom zdrowotnym.
Co dentysta może zauważyć podczas rutynowej kontroli
Podczas rutynowej kontroli dentysta zwraca uwagę na kilka kluczowych aspektów zdrowia jamy ustnej. Przede wszystkim sprawdza obecność płytki nazębnej oraz kamienia nazębnego, które mogą prowadzić do zapalenia dziąseł. Dentysta ocenia również stan dziąseł, szukając oznak ich zapalenia, takich jak zaczerwienienie czy krwawienie. W przypadku wystąpienia nieprawidłowości, dentysta może zalecić dalsze badania lub leczenie.
| Wiek | Zalecana częstotliwość wizyt |
|---|---|
| Dzieci (0-12 lat) | Co 6 miesięcy |
| Młodzież (13-19 lat) | Co 6-12 miesięcy |
| Dorośli (20-64 lat) | Co 6 miesięcy |
| Osoby powyżej 65. roku życia | Co 6-12 miesięcy |
Dieta a zdrowie dziąseł: co jeść, aby wspierać ich kondycję
Odpowiednia dieta ma kluczowe znaczenie dla zdrowia dziąseł. Niektóre pokarmy mogą wspierać zdrowie jamy ustnej, wzmacniając dziąsła oraz zęby. Na przykład, pokarmy bogate w witaminę C, takie jak cytrusy, truskawki i papryka, pomagają w produkcji kolagenu, co jest istotne dla zdrowia dziąseł. Ponadto, pokarmy bogate w wapń, takie jak mleko i jogurt, wspierają strukturę zębów i kości.
Warto również włączyć do diety pokarmy bogate w błonnik, takie jak warzywa i owoce, które pomagają w naturalnym oczyszczaniu zębów podczas jedzenia. Z kolei orzechy, takie jak migdały i orzechy włoskie, dostarczają zdrowych tłuszczów oraz minerałów, które są korzystne dla zdrowia jamy ustnej. Właściwa dieta może znacząco wpłynąć na kondycję dziąseł i zębów, dlatego warto zwracać uwagę na to, co jemy.
Jakie pokarmy wspierają zdrowie dziąseł i zębów
W diecie wspierającej zdrowie dziąseł warto uwzględnić kilka kluczowych produktów. Brokuły są bogate w witaminy i minerały, które wspomagają zdrowie dziąseł. Jabłka działają jak naturalne szczoteczki do zębów, pomagając w usuwaniu resztek jedzenia. Łosoś dostarcza kwasów tłuszczowych omega-3, które mają działanie przeciwzapalne i mogą pomóc w ochronie dziąseł. Herbata zielona zawiera przeciwutleniacze, które wspierają zdrowie jamy ustnej, a jej picie może zmniejszyć ryzyko chorób przyzębia.
- Cytrusy: Wzmacniają dziąsła dzięki wysokiej zawartości witaminy C.
- Mleko i produkty mleczne: Dostarczają wapnia, który jest niezbędny dla zdrowia zębów.
- Orzechy: Bogate w zdrowe tłuszcze i minerały, wspierają zdrowie jamy ustnej.
Czego unikać w diecie, aby nie zaszkodzić dziąsłom
Niektóre pokarmy i napoje mogą negatywnie wpływać na zdrowie dziąseł. Cukry są głównym wrogiem zdrowia jamy ustnej, ponieważ sprzyjają rozwojowi bakterii, które prowadzą do próchnicy i zapalenia dziąseł. Napoje gazowane i słodkie napoje zawierają kwasy, które mogą erodować szkliwo zębów, co z kolei osłabia dziąsła. Alkohol również może prowadzić do odwodnienia i zmniejszyć produkcję śliny, co sprzyja problemom z jamą ustną.
Warto unikać pokarmów o wysokiej zawartości kwasów, takich jak cytrusy w nadmiarze oraz ocet, które mogą podrażniać dziąsła. Przetworzone jedzenie, bogate w sztuczne dodatki i konserwanty, może negatywnie wpływać na zdrowie jamy ustnej. Zmniejszenie spożycia tych produktów może pomóc w utrzymaniu zdrowych dziąseł i zębów.
| Pokarmy wspierające zdrowie dziąseł | Pokarmy do unikania |
|---|---|
| Brokuły | Cukry |
| Jabłka | Napoje gazowane |
| Łosoś | Alkohol |
Objawy chorób dziąseł, które warto znać
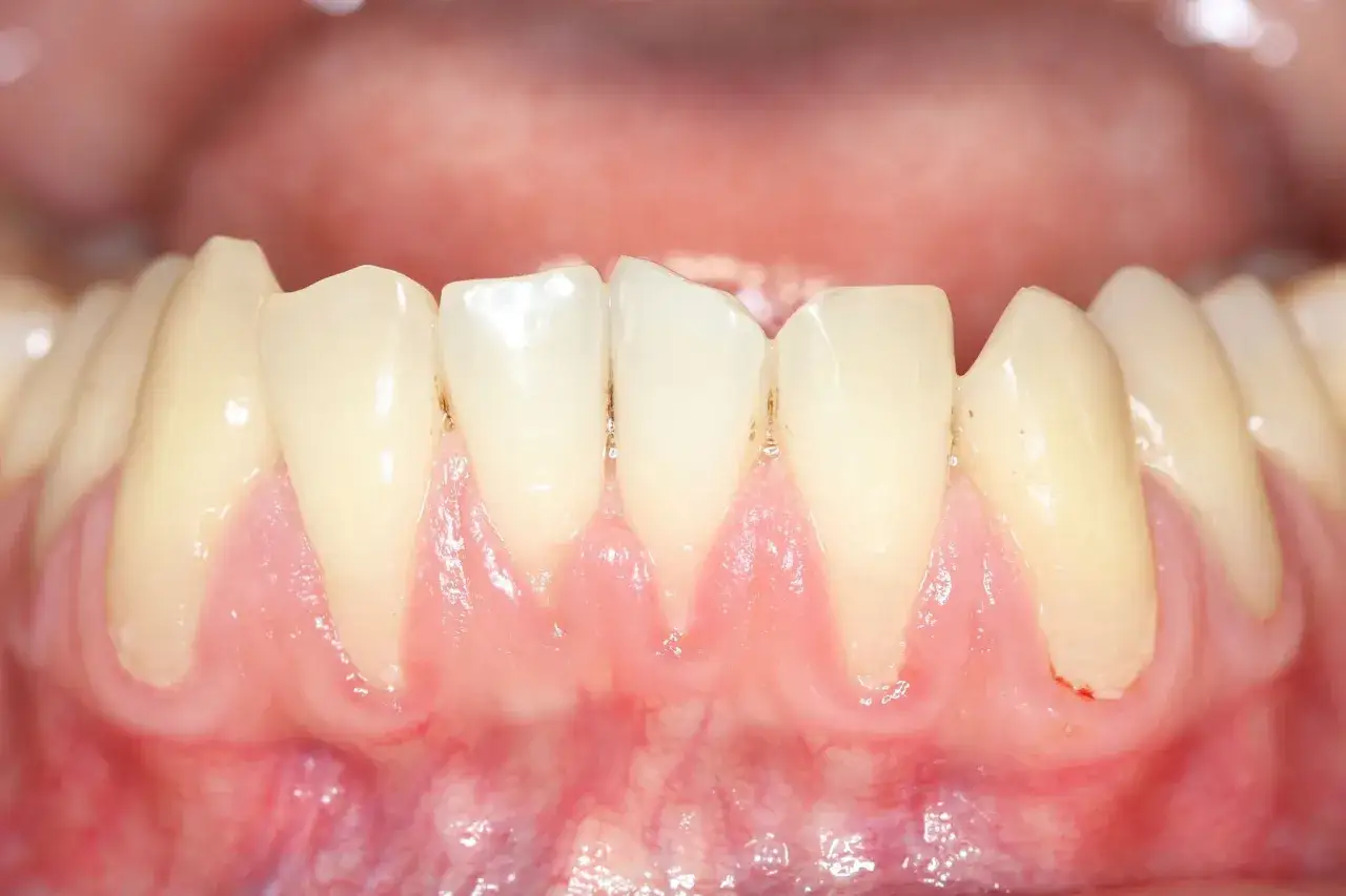
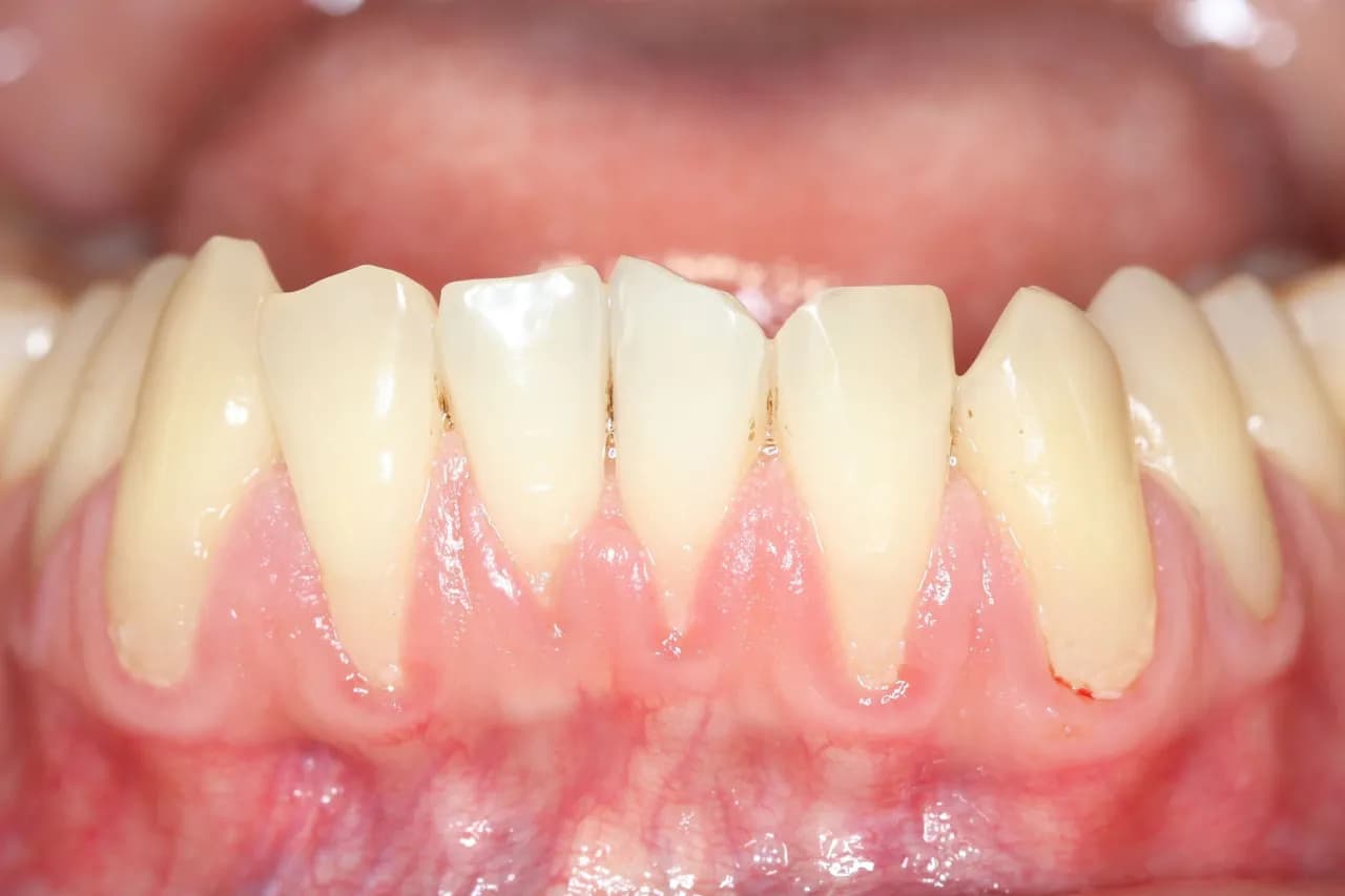
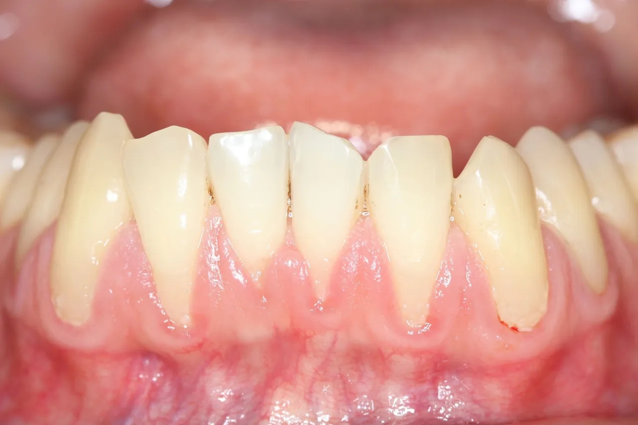
Wczesne rozpoznanie objawów chorób dziąseł jest kluczowe dla ich skutecznego leczenia. Niektóre z najczęstszych objawów to krwawienie dziąseł podczas szczotkowania lub nitkowania, a także ich zaczerwienienie i obrzęk. Warto zwrócić uwagę na te sygnały, ponieważ mogą one wskazywać na rozwijające się problemy, takie jak zapalenie dziąseł. Ignorowanie tych objawów może prowadzić do poważniejszych schorzeń, takich jak parodontoza.
Inne objawy, które mogą wskazywać na problemy z dziąsłami, to nieprzyjemny zapach z ust oraz uczucie luźnych zębów. Wczesne wykrycie problemów z dziąsłami pozwala na podjęcie odpowiednich działań, co może zapobiec dalszym komplikacjom. Dlatego tak ważne jest, aby regularnie monitorować stan zdrowia jamy ustnej i zwracać uwagę na wszelkie niepokojące objawy.
Jak rozpoznać wczesne oznaki zapalenia dziąseł
Wczesne oznaki zapalenia dziąseł można łatwo zauważyć, zwracając uwagę na kilka kluczowych symptomów. Zaczerwienienie i obrzęk dziąseł to pierwsze sygnały, które mogą sugerować stan zapalny. Dodatkowo, dziąsła mogą stać się wrażliwe na dotyk, a ich krwawienie podczas szczotkowania lub nitkowania jest częstym objawem. Jeśli zauważysz te symptomy, warto jak najszybciej skonsultować się z dentystą, aby uniknąć postępu choroby.
Kiedy należy skonsultować się z dentystą w przypadku objawów
Jeśli zauważysz jakiekolwiek objawy sugerujące problemy z dziąsłami, niezwłocznie skonsultuj się z dentystą. Warto umówić się na wizytę, gdy dziąsła krwawią, są zaczerwienione lub bolesne. Również, jeśli odczuwasz luźne zęby lub masz problem z nieprzyjemnym zapachem z ust, powinno to być sygnałem do działania. Wczesna interwencja może znacząco poprawić zdrowie jamy ustnej i zapobiec poważniejszym schorzeniom.
- Krwawienie dziąseł podczas szczotkowania lub nitkowania.
- Zaczerwienienie i obrzęk dziąseł.
- Nieprzyjemny zapach z ust.
Produkty wspomagające pielęgnację dziąseł i ich skuteczność
Właściwa pielęgnacja dziąseł wymaga nie tylko regularnej higieny jamy ustnej, ale także stosowania odpowiednich produktów. Na rynku dostępne są różnorodne produkty, które mogą wspierać zdrowie dziąseł, w tym płyny do płukania jamy ustnej, szczoteczki do zębów oraz nitki dentystyczne. Wybierając te produkty, warto zwrócić uwagę na ich skład oraz właściwości, które mogą pomóc w walce z problemami zdrowotnymi jamy ustnej.
Na przykład, płyny do płukania jamy ustnej zawierające składniki antybakteryjne mogą skutecznie redukować płytkę nazębną i zapobiegać stanom zapalnym. Z kolei szczoteczki do zębów z odpowiednim rodzajem włosia mogą delikatnie, ale skutecznie oczyszczać zęby i dziąsła. Warto zainwestować w produkty, które są polecane przez dentystów, aby mieć pewność, że wspierają zdrowie dziąseł w odpowiedni sposób.
Jakie płyny do płukania jamy ustnej są najlepsze dla dziąseł
Wybierając płyn do płukania jamy ustnej, warto zwrócić uwagę na produkty, które zawierają składniki takie jak chlorheksydyna lub olejek z drzewa herbacianego. Chlorheksydyna jest znana ze swoich właściwości antybakteryjnych i może pomóc w redukcji stanów zapalnych dziąseł. Płyny zawierające olejek z drzewa herbacianego działają przeciwzapalnie i mogą wspierać zdrowie jamy ustnej. Przykłady skutecznych płynów to Listerine Total Care oraz Curasept ADS, które są rekomendowane przez specjalistów.
Wybór odpowiedniej szczoteczki do zębów dla zdrowia dziąseł
Wybór szczoteczki do zębów ma kluczowe znaczenie dla zdrowia dziąseł. Należy zwrócić uwagę na rodzaj włosia – szczoteczki z miękkim włosiem są najlepsze dla osób z wrażliwymi dziąsłami. Dodatkowo, szczoteczki elektryczne mogą być skuteczniejsze w usuwaniu płytki nazębnej niż tradycyjne. Przykłady rekomendowanych szczoteczek to Oral-B Genius 8000 oraz Philips Sonicare ProtectiveClean, które oferują różne tryby czyszczenia i są dostosowane do potrzeb użytkowników.
| Rodzaj produktu | Przykład | Korzyści |
|---|---|---|
| Płyn do płukania jamy ustnej | Listerine Total Care | Redukcja płytki nazębnej, działanie antybakteryjne |
| Szczoteczka elektryczna | Oral-B Genius 8000 | Skuteczne usuwanie płytki, różne tryby czyszczenia |
| Szczoteczka manualna | Curaprox CS 5460 | Miękkie włosie, delikatne dla dziąseł |
Jak nowoczesne technologie wspierają zdrowie dziąseł
W dzisiejszych czasach, nowoczesne technologie mogą znacząco wspierać zdrowie dziąseł i poprawiać efektywność pielęgnacji jamy ustnej. Na przykład, aplikacje mobilne do monitorowania higieny jamy ustnej mogą przypominać o regularnym szczotkowaniu i nitkowaniu, a także dostarczać spersonalizowane porady dotyczące pielęgnacji. Dodatkowo, niektóre z tych aplikacji oferują funkcje analizy, które pozwalają użytkownikom na śledzenie postępów w utrzymaniu zdrowia jamy ustnej.
Warto również zwrócić uwagę na inteligentne szczoteczki do zębów, które zbierają dane o technice szczotkowania i dostarczają informacji zwrotnych w czasie rzeczywistym. Dzięki tym technologiom, użytkownicy mogą skuteczniej dbać o swoje dziąsła, unikając błędów, które mogą prowadzić do problemów zdrowotnych. W przyszłości możemy spodziewać się jeszcze bardziej zaawansowanych rozwiązań, takich jak telemedycyna stomatologiczna, która pozwoli na zdalne konsultacje z dentystami oraz szybsze wykrywanie problemów zdrowotnych.




