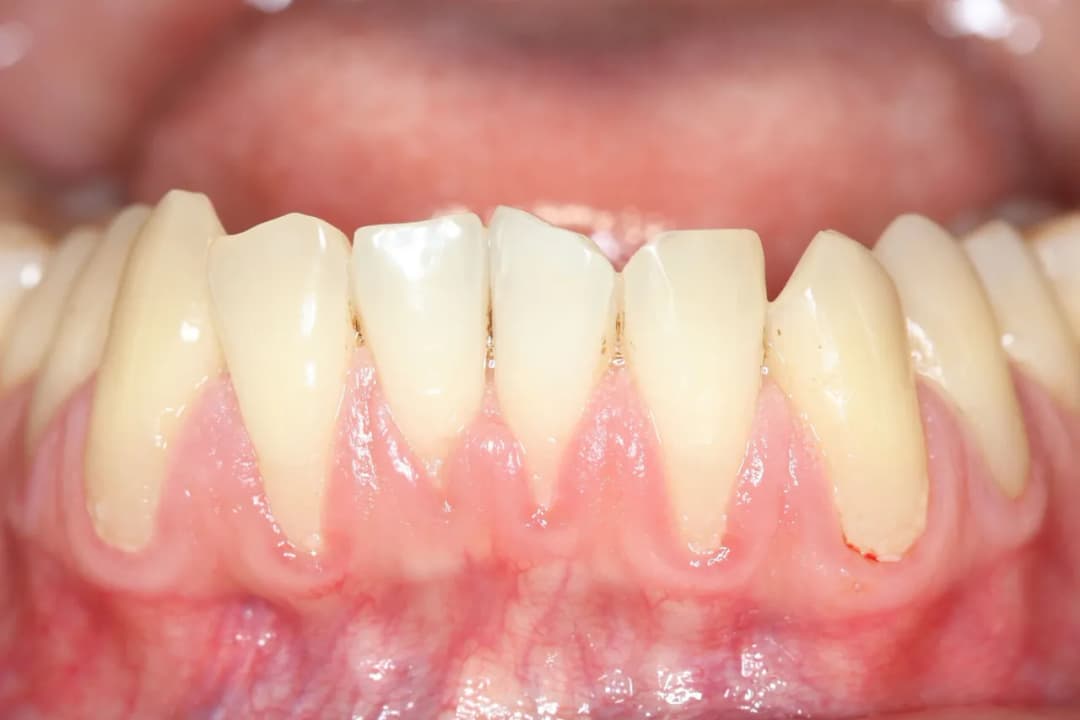
Zapalenie dziąseł to powszechna dolegliwość, która może prowadzić do poważniejszych problemów zdrowotnych, jeśli nie zostanie odpowiednio leczona. W wielu przypadkach lekarze przepisują antybiotyki jako skuteczną metodę walki z infekcjami, które powodują stan zapalny w jamie ustnej. Wśród najczęściej stosowanych leków znajdują się amoksycylina, klindamycyna, penicyliny oraz tetracykliny.
Wybór odpowiedniego antybiotyku zależy od rodzaju bakterii wywołujących infekcję oraz stanu zdrowia pacjenta. Warto zasięgnąć porady lekarza, który pomoże określić, który z tych leków będzie najskuteczniejszy w danym przypadku. W tym artykule przedstawimy najważniejsze informacje na temat stosowania antybiotyków w leczeniu zapalenia dziąseł oraz zwrócimy uwagę na możliwe skutki uboczne i alternatywne metody terapii. Najistotniejsze informacje:- Amoksycylina i klindamycyna są najczęściej stosowanymi antybiotykami w leczeniu zapalenia dziąseł.
- Penicyliny i tetracykliny stanowią alternatywne opcje terapeutyczne.
- Antybiotyki działają skutecznie przeciwko bakteriom powodującym infekcje tkanek miękkich w jamie ustnej.
- Ważne jest, aby skonsultować się z lekarzem przed rozpoczęciem leczenia antybiotykami.
- Możliwe skutki uboczne antybiotyków obejmują reakcje alergiczne i zaburzenia żołądkowo-jelitowe.
- Istnieją również domowe sposoby na łagodzenie objawów zapalenia dziąseł, które można stosować równolegle z leczeniem farmakologicznym.
Wybór odpowiedniego antybiotyku na zapalenie dziąseł dla skutecznej terapii
Wybór odpowiedniego antybiotyku jest kluczowy w leczeniu zapalenia dziąseł. Antybiotyki pomagają w zwalczaniu infekcji, które mogą prowadzić do poważniejszych problemów zdrowotnych, takich jak choroby przyzębia. Wśród najczęściej stosowanych leków znajdują się amoksycylina, klindamycyna, penicyliny oraz tetracykliny. Każdy z tych antybiotyków ma swoje specyficzne właściwości i zastosowania, które należy wziąć pod uwagę przy wyborze odpowiedniego leczenia.
Ważne jest, aby lekarz dokładnie ocenił stan pacjenta oraz rodzaj bakterii wywołujących infekcję. Amoksycylina i klindamycyna są często pierwszym wyborem, ponieważ skutecznie działają przeciwko bakteriom powodującym zapalenie tkanek miękkich w jamie ustnej. Wybór odpowiedniego leku zależy również od historii medycznej pacjenta oraz ewentualnych alergii. Dlatego konsultacja z lekarzem jest niezbędna dla zapewnienia skutecznej i bezpiecznej terapii.
Amoksycylina: Jak działa i kiedy ją stosować?
Amoksycylina to antybiotyk z grupy penicylin, który działa poprzez hamowanie syntezy ściany komórkowej bakterii. Dzięki temu skutecznie zwalcza wiele rodzajów bakterii, w tym te odpowiedzialne za zapalenie dziąseł. Lek ten jest szczególnie zalecany w przypadkach, gdy infekcja jest spowodowana przez Streptococcus lub Staphylococcus. Dawkowanie amoksycyliny zależy od ciężkości infekcji oraz ogólnego stanu zdrowia pacjenta.Amoksycylina jest często stosowana w leczeniu łagodnych do umiarkowanych infekcji jamy ustnej. W przypadku bardziej skomplikowanych lub opornych na leczenie infekcji lekarz może zalecić inne antybiotyki, takie jak klindamycyna. Ważne jest, aby stosować amoksycylinę zgodnie z zaleceniami lekarza, aby uniknąć rozwoju oporności bakterii.
Klindamycyna: Skuteczność i wskazania do leczenia
Klindamycyna to antybiotyk, który jest szczególnie skuteczny w leczeniu infekcji bakteryjnych, w tym zapalenia dziąseł. Działa poprzez hamowanie syntezy białek w komórkach bakteryjnych, co prowadzi do ich śmierci. Jest często stosowany w przypadkach, gdy inne antybiotyki, takie jak amoksycylina, nie przynoszą oczekiwanych rezultatów, zwłaszcza w przypadku infekcji wywołanych przez bakterie beztlenowe. Klindamycyna jest również preferowana w leczeniu pacjentów uczulonych na penicyliny.
Wskazania do stosowania klindamycyny obejmują nie tylko zapalenie dziąseł, ale także inne infekcje jamy ustnej oraz stany zapalne w obrębie tkanek miękkich. Dawkowanie klindamycyny zależy od ciężkości infekcji oraz ogólnego stanu zdrowia pacjenta. Ważne jest, aby stosować ten lek zgodnie z zaleceniami lekarza, aby zminimalizować ryzyko wystąpienia oporności bakterii.Penicyliny i tetracykliny: Alternatywne opcje w terapii
Penicyliny to grupa antybiotyków, która jest szeroko stosowana w leczeniu różnych infekcji bakteryjnych, w tym zapalenia dziąseł. Działają poprzez uszkodzenie ściany komórkowej bakterii, co prowadzi do ich śmierci. Penicyliny są szczególnie skuteczne przeciwko bakteriom Gram-dodatnim, takim jak Streptococcus i Staphylococcus. W przypadku zapalenia dziąseł, penicyliny mogą być stosowane jako pierwsza linia obrony, zwłaszcza gdy infekcja jest łagodna lub umiarkowana.
Tetracykliny to kolejna grupa antybiotyków, która znajduje zastosowanie w leczeniu zapalenia dziąseł. Działają one poprzez hamowanie syntezy białek w komórkach bakteryjnych, co sprawia, że są skuteczne przeciwko szerokiemu spektrum bakterii, w tym tych, które są oporne na inne leki. Tetracykliny mogą być stosowane w przypadkach, gdy inne antybiotyki nie przynoszą rezultatów. Warto jednak pamiętać, że tetracykliny mają swoje ograniczenia, takie jak interakcje z niektórymi lekami oraz przeciwwskazania u dzieci i kobiet w ciąży.
| Antybiotyk | Skuteczność | Wskazania |
| Penicyliny | Skuteczne przeciwko Gram-dodatnim | Zapalenie dziąseł, infekcje jamy ustnej |
| Tetracykliny | Szerokie spektrum działania | Infekcje oporne na inne leki |
Penicyliny: Kiedy są najlepszym wyborem w leczeniu?
Penicyliny są często pierwszym wyborem w leczeniu zapalenia dziąseł, zwłaszcza gdy infekcja jest spowodowana przez bakterie Gram-dodatnie, takie jak Streptococcus. Ich skuteczność w eliminowaniu tych patogenów sprawia, że są preferowane w przypadkach, gdy pacjent nie ma alergii na penicyliny. Wskazania do ich stosowania obejmują łagodne do umiarkowanych infekcje, które nie wymagają bardziej intensywnego leczenia.
Warto również zauważyć, że penicyliny są stosunkowo dobrze tolerowane przez pacjentów i mają niską toksyczność. W sytuacjach, gdy inne antybiotyki mogą być mniej skuteczne, penicyliny mogą być zalecane jako skuteczna alternatywa. W przypadku pacjentów z historią reakcji alergicznych, lekarz może rozważyć inne opcje, ale w wielu przypadkach penicyliny pozostają najlepszym wyborem.
Tetracykliny: Właściwości i zastosowanie w stomatologii
Tetracykliny to grupa antybiotyków, która ma szerokie spektrum działania i jest skuteczna przeciwko wielu rodzajom bakterii, w tym tym, które są oporne na inne leki. W stomatologii tetracykliny są często stosowane w leczeniu zapalenia dziąseł, szczególnie w przypadkach, gdy infekcja jest spowodowana przez bakterie beztlenowe. Działają one poprzez hamowanie syntezy białek w komórkach bakteryjnych, co prowadzi do ich śmierci.
Wskazania do stosowania tetracyklin obejmują infekcje, które są trudne do leczenia innymi antybiotykami, a także przypadki przewlekłego zapalenia dziąseł. Tetracykliny mogą być również stosowane w terapii skojarzonej, aby zwiększyć skuteczność leczenia. Jednak ich stosowanie może być ograniczone u dzieci i kobiet w ciąży, ze względu na potencjalne skutki uboczne.
Jak rozpoznać działania niepożądane i co robić?
Rozpoznanie d działań niepożądanych po zastosowaniu antybiotyków jest kluczowe dla zapewnienia bezpieczeństwa pacjenta. Objawy mogą obejmować reakcje alergiczne, takie jak wysypka, swędzenie, a nawet trudności w oddychaniu. Inne powszechne skutki uboczne to nudności, wymioty, biegunka czy bóle brzucha. Ważne jest, aby pacjenci byli świadomi tych objawów i reagowali na nie natychmiastowo, zgłaszając je lekarzowi.W przypadku wystąpienia poważnych reakcji, takich jak obrzęk twarzy, języka lub gardła, należy niezwłocznie wezwać pomoc medyczną. Warto również prowadzić dziennik przyjmowanych leków i wszelkich objawów, co ułatwi lekarzowi ocenę sytuacji. Właściwa reakcja na działania niepożądane może zapobiec poważniejszym komplikacjom zdrowotnym.
Czytaj więcej: Co jest dobre na dziąsła? Sprawdzone metody na zdrowe dziąsła
Konsultacja z lekarzem: Dlaczego jest kluczowa przed leczeniem?
Konsultacja z lekarzem przed rozpoczęciem leczenia antybiotykami jest niezwykle ważna. Lekarz oceni stan zdrowia pacjenta, zidentyfikuje potencjalne alergie oraz dostosuje dawkowanie, aby zapewnić maksymalną skuteczność leczenia. Właściwa diagnoza i dobór leku są kluczowe, ponieważ niektóre infekcje mogą wymagać specyficznych antybiotyków, a niewłaściwe leczenie może prowadzić do powikłań.
Podczas wizyty pacjent powinien być przygotowany na szczegółowe pytania dotyczące objawów, historii medycznej oraz przyjmowanych leków. Lekarz może również zlecić dodatkowe badania, aby upewnić się, że antybiotykoterapia będzie skuteczna. Konsultacja przed leczeniem nie tylko zwiększa szanse na sukces terapeutyczny, ale także minimalizuje ryzyko wystąpienia działań niepożądanych.
Jakie pytania zadać lekarzowi przed rozpoczęciem terapii?
Podczas wizyty u lekarza przed rozpoczęciem terapii antybiotykowej, warto zadać kilka kluczowych pytań, aby upewnić się, że leczenie będzie skuteczne i bezpieczne. Przede wszystkim należy zapytać o rodzaj bakterii odpowiedzialnych za zapalenie dziąseł oraz o to, czy wybrany antybiotyk jest odpowiedni w danym przypadku. Warto również dowiedzieć się, jakie są możliwe skutki uboczne stosowanego leku oraz jak je rozpoznać.
Inne istotne pytania to: jak długo powinno trwać leczenie, czy konieczne są dodatkowe badania oraz jakie są alternatywne metody leczenia, jeśli antybiotyki nie przyniosą oczekiwanych rezultatów. Zrozumienie procesu leczenia oraz aktywne uczestnictwo w podejmowaniu decyzji mogą znacząco wpłynąć na skuteczność terapii.

Alternatywne metody leczenia zapalenia dziąseł obok antybiotyków
Oprócz stosowania antybiotyków, istnieje wiele alternatywnych metod leczenia zapalenia dziąseł, które mogą wspierać terapię farmakologiczną. Domowe sposoby, takie jak płukanki z soli morskiej czy napar z rumianku, mogą pomóc w łagodzeniu objawów i przyspieszeniu procesu gojenia. Płukanie jamy ustnej roztworem soli może zmniejszyć stan zapalny i ból, natomiast rumianek ma działanie przeciwzapalne i łagodzące.Profesjonalne metody, takie jak skaling czy polerowanie zębów, również odgrywają ważną rolę w leczeniu zapalenia dziąseł. Te zabiegi usuwają kamień nazębny i płytkę bakteryjną, co jest kluczowe dla zdrowia dziąseł. Warto skonsultować się z dentystą, aby ustalić, które z tych metod będą najbardziej odpowiednie w danym przypadku.
- Płukanka z soli morskiej: pomaga zmniejszyć stan zapalny i ból.
- Napar z rumianku: działa przeciwzapalnie i łagodząco.
- Skaling: profesjonalne usuwanie kamienia nazębnego i płytki bakteryjnej.
Innowacyjne podejścia do leczenia zapalenia dziąseł w przyszłości
W obliczu rosnącej oporności na antybiotyki, innowacyjne podejścia do leczenia zapalenia dziąseł stają się coraz bardziej istotne. Jednym z obiecujących kierunków jest zastosowanie terapii probiotycznych, które mogą wspierać zdrowie jamy ustnej poprzez odbudowę naturalnej flory bakteryjnej. Probiotyki mogą pomóc w redukcji stanów zapalnych i wspierać proces gojenia, co czyni je wartościowym uzupełnieniem tradycyjnych metod leczenia.
Kolejnym interesującym rozwiązaniem są technologie laserowe, które stosowane są do precyzyjnego usuwania infekcji i regeneracji tkanek. Lasery mogą skutecznie niszczyć bakterie, minimalizując jednocześnie uszkodzenia otaczających zdrowych tkanek. W miarę postępu technologii, zabiegi laserowe stają się coraz bardziej dostępne, co może zrewolucjonizować sposób leczenia zapalenia dziąseł, oferując pacjentom szybszy i mniej inwazyjny sposób na poprawę zdrowia jamy ustnej.




