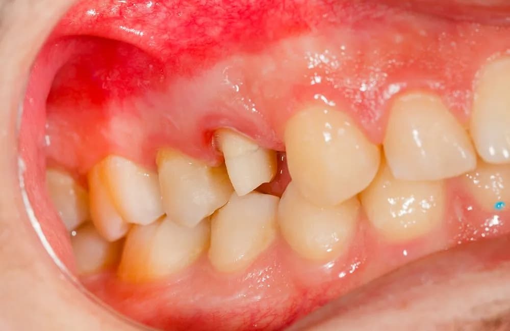
Recesja dziąseł to poważny problem zdrowotny, który dotyka wiele osób. Jest to stan, w którym dziąsła cofają się, odsłaniając korzenie zębów. Taki proces może prowadzić do wielu nieprzyjemnych objawów, w tym nadwrażliwości zębów. Osoby cierpiące na recesję mogą odczuwać ból podczas szczotkowania, jedzenia lub picia ciepłych i zimnych napojów. Zrozumienie objawów oraz przyczyn tego schorzenia jest kluczowe dla zachowania zdrowia jamy ustnej.
W artykule omówimy, jak rozpoznać objawy recesji dziąseł oraz jakie kroki można podjąć, aby uniknąć bólu i poprawić stan zdrowia jamy ustnej. Wiedza na temat przyczyn recesji dziąseł oraz dostępnych metod leczenia pozwoli na skuteczniejsze dbanie o zdrowie zębów i dziąseł.
Najistotniejsze informacje:- Recesja dziąseł prowadzi do odsłonięcia korzeni zębów, co może powodować ból i dyskomfort.
- Jednym z głównych objawów recesji jest nadwrażliwość zębów, szczególnie podczas spożywania ciepłych lub zimnych pokarmów.
- Zmiana koloru dziąseł może być sygnałem problemów zdrowotnych w jamie ustnej.
- Genetyka oraz niewłaściwa higiena jamy ustnej są głównymi przyczynami recesji dziąseł.
- Istnieją różne metody leczenia, w tym leczenie zachowawcze oraz interwencje chirurgiczne.
- Zapobieganie recesji dziąseł obejmuje prawidłową technikę szczotkowania oraz odpowiednią dietę.
Objawy recesji dziąseł: jak je rozpoznać i co oznaczają
Recesja dziąseł to stan, który prowadzi do odsłonięcia korzeni zębów, co może powodować wiele nieprzyjemnych objawów. Jednym z głównych symptomów recesji jest nadwrażliwość zębów, która objawia się bólem podczas szczotkowania, jedzenia oraz picia ciepłych lub zimnych napojów. Osoby z tym problemem często odczuwają dyskomfort, co znacząco wpływa na ich codzienne życie.
Innym ważnym objawem jest zmiana koloru dziąseł, która może wskazywać na problemy zdrowotne w jamie ustnej. Dziąsła mogą stać się jaśniejsze lub ciemniejsze, co może sugerować, że coś jest nie tak. Zrozumienie tych objawów jest kluczowe, ponieważ pozwala na wczesne rozpoznanie problemów i podjęcie odpowiednich kroków w celu ich rozwiązania.
Nadwrażliwość zębów: dlaczego czujesz ból podczas jedzenia
Nadwrażliwość zębów to częsty objaw recesji dziąseł, który może być spowodowany odsłonięciem korzeni. Kiedy dziąsła się cofają, korzenie stają się narażone na działanie czynników zewnętrznych, takich jak zimne lub gorące jedzenie. Osoby z nadwrażliwością mogą odczuwać ostry ból, co utrudnia spożywanie posiłków i picie napojów. Wiele osób unika ulubionych potraw, co wpływa na ich jakość życia.
Zmiana koloru dziąseł: co mówi o stanie zdrowia jamy ustnej
Zmiana koloru dziąseł to kolejny ważny objaw, który może wskazywać na recesję. Dziąsła, które stają się jaśniejsze, mogą sugerować stan zapalny, natomiast ciemniejsze zabarwienie może oznaczać problemy z krążeniem lub innymi schorzeniami. Obserwacja koloru dziąseł jest istotna, ponieważ może pomóc w wczesnym wykryciu problemów zdrowotnych i podjęciu odpowiednich działań.Przyczyny recesji dziąseł: zrozumienie problemu dla lepszej profilaktyki
Recesja dziąseł jest problemem, który może być spowodowany wieloma czynnikami. Wśród głównych przyczyn wymienia się czynniki genetyczne, które mogą predysponować niektóre osoby do tego stanu. Jeśli w rodzinie występowały problemy z dziąsłami, ryzyko recesji może być wyższe. Oprócz genetyki, niewłaściwa higiena jamy ustnej również odgrywa kluczową rolę w rozwoju recesji dziąseł.Osoby, które nie dbają o regularne szczotkowanie i nitkowanie zębów, mogą być bardziej narażone na problemy z dziąsłami. Gromadzenie się płytki nazębnej prowadzi do stanów zapalnych, które mogą przyczynić się do cofania się dziąseł. Zrozumienie tych przyczyn jest kluczowe dla skutecznej profilaktyki recesji dziąseł oraz zachowania zdrowia jamy ustnej.
Genetyka a recesja dziąseł: jak dziedziczenie wpływa na zdrowie
Genetyka odgrywa znaczącą rolę w zdrowiu dziąseł. Badania pokazują, że osoby z rodzinną historią problemów z dziąsłami mają większe szanse na wystąpienie recesji. Geny mogą wpływać na odporność organizmu na choroby przyzębia oraz na sposób, w jaki organizm reaguje na bakterie w jamie ustnej. Dlatego, jeśli w twojej rodzinie występowały przypadki recesji dziąseł, warto zwrócić szczególną uwagę na profilaktykę i regularne wizyty u dentysty.
Niewłaściwa higiena jamy ustnej: jak unikać recesji
Niewłaściwa higiena jamy ustnej to jedna z głównych przyczyn recesji dziąseł. Niedostateczne szczotkowanie zębów, brak nitkowania oraz nieregularne wizyty u dentysty mogą prowadzić do gromadzenia się płytki nazębnej. Ważne jest, aby dbać o odpowiednią technikę szczotkowania oraz używać nici dentystycznej, aby skutecznie usuwać resztki pokarmowe i płytkę. Regularne wizyty u dentysty pomogą wczesniej wykryć i zapobiec problemom z dziąsłami.Czytaj więcej: Jak wyglądają opuchnięte dziąsła u niemowlaka i co to oznacza?
Metody leczenia recesji dziąseł: jak złagodzić objawy i ból
W przypadku recesji dziąseł istnieje wiele metod leczenia, które mogą pomóc złagodzić objawy i ból. Wśród nich wyróżnia się zarówno metody zachowawcze, jak i chirurgiczne. Leczenie zachowawcze obejmuje różne techniki, które można zastosować w domu, aby zminimalizować dyskomfort. Warto jednak pamiętać, że w niektórych przypadkach konieczna może być interwencja chirurgiczna, aby skutecznie rozwiązać problem.
W zależności od stopnia recesji dziąseł, lekarz dentysta może zalecić różne podejścia. W przypadku łagodnych objawów, leczenie zachowawcze może być wystarczające, natomiast w bardziej zaawansowanych przypadkach może być konieczne przeprowadzenie zabiegów chirurgicznych. Ważne jest, aby skonsultować się z dentystą, aby ustalić najodpowiedniejsze metody leczenia dla indywidualnych potrzeb pacjenta.
Leczenie zachowawcze: skuteczne sposoby na łagodzenie bólu
Leczenie zachowawcze recesji dziąseł koncentruje się na łagodzeniu objawów bez konieczności interwencji chirurgicznej. Do popularnych metod należy stosowanie specjalnych past do zębów dla osób z nadwrażliwością zębów, które mogą pomóc w redukcji bólu. Ponadto, unikanie twardych lub ostrych pokarmów oraz stosowanie miękkich szczoteczek do zębów może zmniejszyć dyskomfort podczas szczotkowania.
| Produkt | Opis |
|---|---|
| Elmex Sensitive | Specjalna pasta do zębów zapobiegająca nadwrażliwości, zawierająca aminofluorek. |
| Colgate Sensitive Pro-Relief | Pasta do zębów, która działa na zęby w momencie kontaktu z wodą, łagodząc ból. |
| Sensodyne Repair & Protect | Pasta, która pomaga w odbudowie wrażliwych miejsc, chroniąc przed bólem. |
Interwencje chirurgiczne: kiedy warto rozważyć operację
Interwencje chirurgiczne w przypadku recesji dziąseł są stosowane, gdy inne metody leczenia nie przynoszą efektów lub gdy problem jest zaawansowany. Najczęściej wykonywane zabiegi to grafting dziąseł, który polega na przeszczepieniu tkanki z innej części jamy ustnej na miejsce, gdzie dziąsła się cofnęły. Tego rodzaju operacje pomagają przywrócić zdrowie dziąseł oraz chronić odsłonięte korzenie zębów przed dalszym uszkodzeniem.
Inne metody chirurgiczne mogą obejmować chirurgiczne podniesienie dziąseł, które ma na celu przywrócenie ich naturalnej linii. Warto jednak pamiętać, że operacje te są zalecane tylko w określonych przypadkach, a decyzję o ich przeprowadzeniu powinien podjąć doświadczony dentysta. Regularne kontrole u stomatologa oraz wczesne wykrycie problemów z dziąsłami mogą pomóc uniknąć konieczności interwencji chirurgicznych.

Zapobieganie recesji dziąseł: proste kroki do zdrowego uśmiechu
Zapobieganie recesji dziąseł jest kluczowe dla utrzymania zdrowia jamy ustnej. Regularna i prawidłowa higiena jamy ustnej, obejmująca szczotkowanie zębów co najmniej dwa razy dziennie oraz stosowanie nici dentystycznej, jest podstawą profilaktyki. Dbanie o zdrową dietę, bogatą w witaminy i minerały, również ma znaczenie w zapobieganiu problemom z dziąsłami.
Oprócz higieny, istotne jest unikanie szkodliwych nawyków, takich jak palenie papierosów, które mogą negatywnie wpływać na zdrowie dziąseł. Regularne wizyty u dentysty pozwalają na wczesne wykrycie potencjalnych problemów i podjęcie odpowiednich działań. Pamiętaj, że zdrowe dziąsła to klucz do zdrowego uśmiechu!
Prawidłowa technika szczotkowania: jak dbać o dziąsła
Aby skutecznie dbać o dziąsła i zapobiegać ich recesji, kluczowa jest prawidłowa technika szczotkowania. Należy używać miękkiej szczoteczki do zębów, aby nie podrażnić dziąseł. Zaleca się trzymanie szczoteczki pod kątem 45 stopni do linii dziąseł i delikatne ruchy okrężne, aby skutecznie usunąć płytkę nazębną. Ważne jest, aby nie szczotkować zbyt mocno, ponieważ może to prowadzić do uszkodzenia dziąseł. Regularne szczotkowanie zębów dwa razy dziennie, rano i wieczorem, jest niezbędne dla zdrowia jamy ustnej.
Dieta a zdrowie dziąseł: co jeść, aby uniknąć problemów
Odpowiednia dieta ma ogromne znaczenie dla zdrowia dziąseł. Warto włączyć do swojej diety pokarmy bogate w witaminę C, takie jak cytrusy, papryka i brokuły, które wspierają zdrowie dziąseł. Wapń jest kolejnym kluczowym składnikiem, który można znaleźć w nabiale, orzechach i zielonych warzywach liściastych. Należy unikać nadmiaru cukrów i kwasów, które mogą przyczyniać się do rozwoju próchnicy i problemów z dziąsłami. Odpowiednia dieta, bogata w składniki odżywcze, pomoże w utrzymaniu zdrowia jamy ustnej.
- Witamina C: wspiera zdrowie dziąseł i pomaga w ich regeneracji.
- Wapń: wzmacnia zęby i kości, co jest kluczowe dla zdrowia jamy ustnej.
- Pokarmy bogate w błonnik: wspierają naturalne oczyszczanie zębów i dziąseł.
Nowoczesne technologie w leczeniu recesji dziąseł
W dzisiejszych czasach, nowoczesne technologie odgrywają kluczową rolę w diagnostyce i leczeniu recesji dziąseł. Jednym z innowacyjnych podejść jest terapia laserowa, która pozwala na precyzyjne usunięcie zakażonej tkanki przy minimalnym uszkodzeniu otaczających struktur. Dzięki zastosowaniu lasera, pacjenci doświadczają mniejszego bólu oraz szybszego procesu gojenia, co czyni tę metodę coraz bardziej popularną w gabinetach stomatologicznych. Co więcej, technologia ta może być stosowana zarówno w leczeniu recesji, jak i w profilaktyce, pomagając w regeneracji dziąseł.
Innym interesującym trendem są biomateriały, które wspierają regenerację tkanek. Obecnie dostępne są różne rodzaje przeszczepów tkankowych oraz materiały, które stymulują wzrost komórek i wspomagają proces gojenia. Te innowacyjne metody mogą zrewolucjonizować sposób, w jaki podchodzimy do leczenia recesji dziąseł, oferując pacjentom bardziej efektywne i mniej inwazyjne rozwiązania. Warto zatem śledzić rozwój tych technologii i rozmawiać z dentystą o możliwościach, jakie mogą one oferować w kontekście zdrowia jamy ustnej.




