
Ile trwa ból po wyrwaniu zęba? Sprawdź, co jest normalne
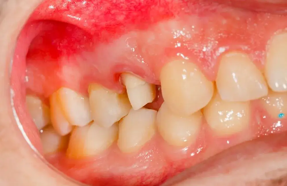
Ile trwa ból po wyrwaniu zęba? Dowiedz się, co jest normalne podczas gojenia i jak radzić sobie z dyskomfortem po zabiegu.

Ile trwa ból po wyrwaniu zęba? Dowiedz się, co jest normalne podczas gojenia i jak radzić sobie z dyskomfortem po zabiegu.

Poznaj objawy recesji dziąseł i dowiedz się, jak rozpoznać ich skutki. Zminimalizuj ból zębów i zadbaj o zdrowie swojej jamy ustnej.

Szałwia czy rumianek na dziąsła? Sprawdź, które zioło lepiej łagodzi ból i wspiera zdrowie dziąseł. Naturalne metody na ulgę w dolegliwościach.

Dowiedz się, jak się nazywa lekarz od jamy ustnej oraz jakie znaczenie ma jego rola w zachowaniu zdrowia jamy ustnej i ogólnego samopoczucia.

Ile kosztuje aparat na zęby ruchomy? Sprawdź ceny oraz czynniki wpływające na koszt, aby podjąć świadomą decyzję o leczeniu ortodontycznym.

Co widzi dentysta podczas wizyty? Dowiedz się, jakie problemy zdrowotne ocenia i jakie narzędzia wykorzystuje do diagnozowania stanu jamy ustnej.

Dowiedz się, jak się zakłada aparat na zęby, krok po kroku. Poznaj etapy, materiały i wskazówki, które pomogą Ci przejść przez ten proces bez stresu.

Poznaj, co szkodzi zębom i jakie produkty mogą zrujnować Twój uśmiech. Sprawdź 10 najgorszych wyborów dla zdrowia jamy ustnej!

Czy można jeść przed dentystą? Dowiedz się, jakie zasady obowiązują przed wizytą i co warto wiedzieć, aby uniknąć problemów zdrowotnych.

Skuteczne metody na ból zębów przez aparat ortodontyczny. Sprawdź, jak złagodzić dyskomfort i cieszyć się zdrowym uśmiechem!