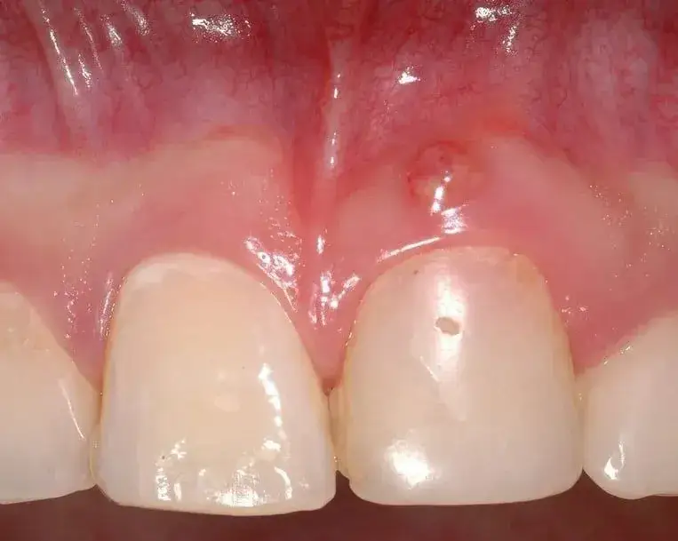
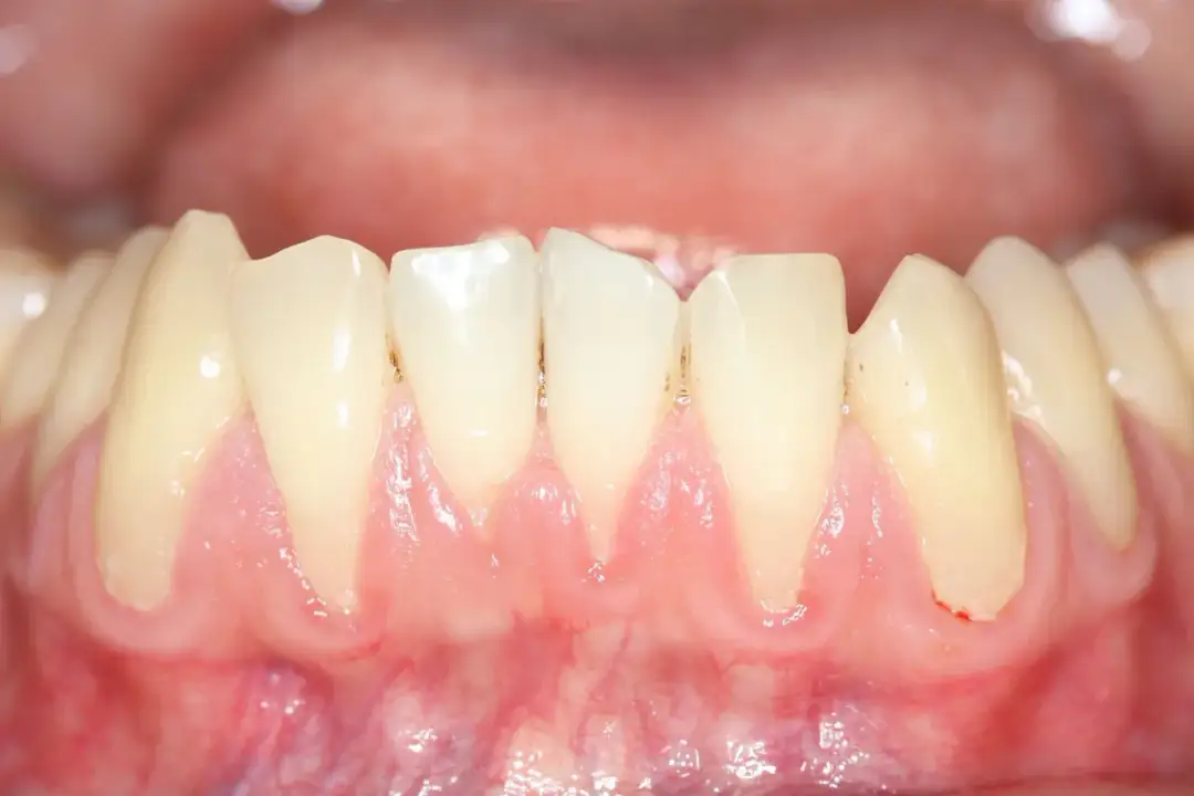
Jaki antybiotyk na zapalenie dziąseł? Skuteczne leki i porady
Poznaj skuteczne antybiotyki na zapalenie dziąseł. Dowiedz się, który lek będzie najlepszy dla Ciebie i jak skutecznie leczyć ten problem zdrowotny.
Poznaj skuteczne antybiotyki na zapalenie dziąseł. Dowiedz się, który lek będzie najlepszy dla Ciebie i jak skutecznie leczyć ten problem zdrowotny.
Skuteczne metody na zapalenie jamy ustnej u dorosłych. Sprawdź, co na zapalenie jamy ustnej u dorosłych pomoże złagodzić ból i przyspieszyć gojenie.
Dowiedz się, na jakie zęby zakłada się aparat ortodontyczny i jakie korzyści płyną z leczenia. Zyskaj piękny uśmiech i zdrowe zęby!
Poznaj odpowiedź na pytanie, ile zarabia dentysta w Polsce oraz jakie czynniki wpływają na ich pensje w różnych regionach kraju.
Sprawdź, czy płyn do płukania jamy ustnej to skuteczne uzupełnienie codziennej higieny. Dowiedz się o jego korzyściach dla zdrowia zębów.
Skuteczne metody na to, jak leczyć grzybicę jamy ustnej. Poznaj leki, domowe sposoby i strategie zapobiegawcze, aby cieszyć się zdrowiem jamy ustnej.
Ile trwa zakładanie aparatu na zęby? Sprawdź, jak długo trwa ten proces oraz jakie etapy są związane z zakupem aparatu ortodontycznego.
Wybierz między nakładkami na zęby czy aparatem ortodontycznym. Sprawdź, która opcja jest wygodniejsza i skuteczniejsza w leczeniu.
Spuchnięte dziąsła u niemowlaka mogą budzić niepokój. Dowiedz się, jak wyglądają spuchnięte dziąsła u niemowlaka i co to oznacza dla zdrowia dziecka.
Dowiedz się, jak prawidłowo myć zęby szczoteczką soniczną, aby uniknąć problemów z dziąsłami i cieszyć się zdrowym uśmiechem przez długie lata.